CT検査(コンピュータ断層撮影)
頭部・肺・心臓・肝臓・膵臓・腎臓・腹部血管・骨などの病気の検査に優れています。
検査機器・設備
320列のマルチスライスCTが2台稼働し、緊急性の高い場合は即日CT検査に対応しています。320列のCTは現在最も広範囲を一度に検査できる装置であり、頭部はわずか数秒、全身でも十数秒で検査が可能です。検査時間による負担を感じること無く検査を受けていただけます。
320列MDCT装置(1)
320列MDCT装置(2)
検査を受ける方へ
検査方法・当日の流れ
1.受付
中央放射線部受付(緑色の窓口)へお越しいただき、診察券と案内表をお出しください。スタッフが検査室を案内いたします。
2.更衣
検査する部分に金属があると画像が乱れてしまうため、更衣室で検査着に着替えていただく場合があります。あらかじめ金属がない状態で来院されると更衣なくスムーズに検査を受けていただけます。
3.食事
腹部、骨盤部の検査や造影剤を使用する検査の場合、食事をせずに来院していただく必要があります。午前中の検査であれば朝ご飯、午後からの検査であればお昼ご飯を抜いてください。お茶、お水等は飲んでもかまいません。
4.造影検査
検査の際に点滴から造影剤というお薬を体に入れて、より詳しく病気を見付ける検査です。造影剤を使用しない検査と同じように検査台に寝ているだけで検査可能です。造影剤が体に入る際に暖かく感じることがありますが特に心配はありません。
5.冠動脈CT
造影剤と心電図を用いて心臓を栄養する血管である冠動脈を描出する検査です。検査の前にお薬を内服していただく必要があります。
注意事項・所要時間
妊娠の可能性がある方、ペースメーカー、植込み型除細動器(ICD)を装着されている方はお申し出ください。また、造影検査の際、飲み合わせのよくない糖尿病薬があります。内服状況によっては検査が延期となる場合もありますので、検査説明の際等にスタッフにお声かけください。
所要時間
検査説明などを合わせると入室から退室までの所要時間は、造影剤を使わない単純CTの検査で約10分ほど、造影検査で約15分ほどになります。
検査結果
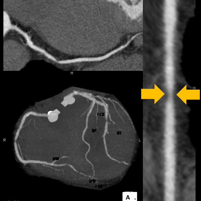
下の画像のように体内を断面(輪切り)にして観察できます。画像(1)は頭部のCT画像で、中の白くなっている部分が脳出血といわれる状態です。画像(2)は心臓のCT画像で冠動脈といわれる血管が狭くなっていないか(黄矢印)、石灰化といわれる状態になっていないかを検査できます。またCT画像を加工することにより3Dといわれる立体的な画像で観察することも可能です。
画像(3)→足関節骨折
画像(4)→脳動脈瘤(赤矢印)
(1)頭部CT画像 脳出血
(2)心臓CT(冠動脈造影)
(3)足首の3DCT(足関節) 骨折
(4)頭部造影3DCT 脳動脈瘤


