整形外科
また、膝関節の疾患や外傷治療を目的とした、「膝関節外来」を設置しています。
診療方針
整形外科部長北尾 淳
受診される皆様へ
当科は主に北勢地区の関節外科基幹病院として診療を行っております。関節の疼痛や変形、スポーツ外傷等でお困りの場合は当科にご相談ください。
手術加療を中心に専門的な治療を行っており、また手術後の経過観察などを行っていただくため、かかりつけ整形外科医を受診し経過等の紹介状をお持ちいただき、受診していただきますようお願いします。
また三次救急病院として骨折等の外傷治療にも積極的に取り組んでおります。
かかりつけ医の先生方へ
当科では、変形性膝関節症に対しては人工関節置換及び関節温存手術の両方に取り組んでおり、症例に応じ全関節置換、単顆関節置換、骨切り術等を行っております。
また、スポーツ外傷に対し、関節鏡下手術を得意としており、靱帯再建術、半月板手術、培養軟骨移植を含む軟骨移植術を多く手掛けております。該当症例がありましたら画像情報をCD-R等で添付いただき、ご紹介ください。
残念ながら現在、手外科及び脊椎外科の専門医は常勤しておらず、専門的な加療は困難な状態です。当院では脊椎の手術は脳神経外科が担当しており、手術を要する症例は脳神経外科、脊椎脊髄外来へご紹介ください。
診療内容
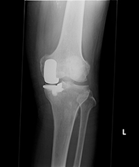
変形性膝関節症(人工関節による治療)
ヘリカルCT
人工膝関節置換術
TKAとUKAの
術後レントゲン
変形性膝関節症(関節温存治療)
関節鏡検査
骨切り術(高位脛骨骨切り術)
HTOの術前、術後

膝関節軟骨損傷
MRI、関節鏡検査
正常大腿骨
内側型変形性膝関節症例
大腿骨内顆軟骨欠損
正常脛骨
内側型変形性膝関節症例
脛骨内顆軟骨欠損
正常膝蓋骨
膝蓋大腿関節症例軟骨欠損
自家培養軟骨移植術 関節鏡下自家骨軟骨柱移植術
培養軟骨移植の術前術後写真


前十字靱帯断裂/複合靱帯断裂/反復性膝蓋骨脱臼
MRI/関節鏡検査/ヘリカルCT/膝動揺性計測器
関節鏡下靱帯断裂形成手術
自家屈筋腱を用いた関節鏡下内側膝蓋大腿靱帯再建による反復性膝蓋骨脱臼の治療。
再建された前十字靱帯

半月板断裂
MRI
正常半月板
円板状半月板
内側半月板横断裂
半月板逸脱
関節鏡下半月板縫合術/関節鏡下半月板切除術
特殊な縫合テクニックや器材により従来修復困難であった断裂に対しても積極的に縫合を行っております。先天的な問題である円板状半月板に対する治療経験も豊富にあります。
半月板縫合の関節鏡画像
骨折全般
レントゲン、ヘリカルCTによる画像診断
骨折観血的手術、関節内骨折観血的手術
髄内釘による大腿骨転子部骨折術後
ロッキングプレートによる手関節骨折
診療実績
外来医師担当表
| 月 | 火 | 水 | 木 | 金 | |
|---|---|---|---|---|---|
| 1診 (紹介診・初診・予約診) |
【午前のみ】 北尾 淳 (紹介診) |
北尾 淳 (再診) |
服部 徹也 (紹介、初診、股) |
奥山 典孝 (再診) |
【午前のみ】 奥山 典孝 (紹介診・初診) |
| 2診 (紹介・初診・予約診) |
【午前のみ】 柿本 拓也 (紹介診・膝・初診) |
【午前】 服部 佳生 (紹介診・初診)
【午後】 服部 佳生 (再診) |
― |
【午前】 中山 裕一朗 (紹介診・初診)
【午後】 中山 裕一朗 (再診) |
ー |
| 3診(予約診) | 【午前】 服部 徹也 (リハビリ・再診)
【午後】 服部 徹也 (再診) |
【午前】 柿本 拓也 (リハビリ・再診)
【午後】 柿本 拓也 (再診) |
― |
【午前のみ】 服部 佳生 (リハビリ・再診) |
【午前のみ】 中山 裕一朗 (リハビリ・再診) |
スタッフ紹介

-
整形外科部長北尾 淳(キタオ アツシ)
平成元年医学部卒業
認定資格
・日本整形外科学会専門医
・日本リウマチ学会専門医
・日本人工関節学会認定医
・日本整形外科学会認定リウマチ医
・日本整形外科学会認定スポーツ医
-
医長奥山 典孝(オクヤマ ノリタカ)
平成6年医学部卒業
認定資格
・日本整形外科学会専門医

-
医長柿本 拓也(カキモト タクヤ)
平成21年医学部卒業
認定資格
・日本整形外科学会専門医
・日本整形外科学会認定スポーツ医
・日本整形外科学会認定運動器リハビリテーション医
・日本整形外科学会認定リウマチ医

-
医長服部 徹也(ハットリ テツヤ)
平成23年医学部卒業
認定資格
・日本整形外科学会専門医
・日本人工関節学会認定医
・日本整形外科学会認定スポーツ医
・日本整形外科学会認定運動器リハビリテーション医
・日本スポーツ協会公認スポーツドクター

-
医長服部 佳生(ハットリ ヨシオ)
平成26年医学部卒業
認定資格
・日本整形外科学会専門医
・日本スポーツ協会公認スポーツドクター
-
中山 裕一朗(ナカヤマ ユウイチロウ)
認定資格
日本整形外科学会専門医


